母猪产后问题多,什么原因?
来源:网络 2021-11-18 20:53:18| 查看:
次
养猪生产中,母猪产后的问题非常多见,例如产后高热、产后不食,便秘、无乳、奶水少等,其实这些现象的发生与母猪产后是否消炎,消炎是否有效果有很大的关系。母猪产后消炎如果做得不好,会出现子宫炎、阴道炎,造成乏情、屡配不孕、孕后流产等一系列问题,影响母猪的利用率。
母猪产后消炎如果做的不好,会导致母猪产后不吃或食欲不佳,造成奶水不好。进而导致断奶成活率不高,仔猪在整个生长期体弱多病,生长速度慢,料肉比高。母猪产后消炎如果做的不好,母猪容易反复发烧,导致母猪奶水中炎性因子大量增加,奶水变质从而导致仔猪腹泻。因此,做好母猪产后保健消炎工作非常有必要。今天我们猪易兽医就分享一个母猪产后消炎不到位出现子宫内膜炎案例。
众所周知,子宫内膜炎发生后,它会引起母猪奶水中炎性因子大量增加,奶水变质而导致仔猪腹泻;子宫内膜炎引起产后高热反复发作并影响食欲;断奶发情时,子宫颈口张开,子宫内恶露流出。有人会说,为什么进行了产后护宫仍出现子宫内膜炎的情况呢?
原因一:产后护理方法不当,只消炎而不清宫
掏产过的母猪、产程过长的母猪、外阴水肿的母猪、胎衣滞留的母猪、恶露不净的母猪,如果我们只单独使用抗生素消炎,而不使用清宫的方法排出子宫异物,常会因为子宫内胎衣碎片残留、恶露不净而发生子宫内膜炎的情况。
原因二:子宫是否复旧的确认误区
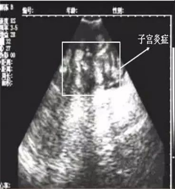
很多人把产后3-4天外阴是否有恶露排出做为子宫炎症是否消除的依据。事实上,在产后3-4天后,即使产后未能正确护宫,子宫内恶露也会由于子宫颈口关闭而被堵塞,呈现外阴干净的情况,让大家误以为子宫炎症已经消除。当出现上述案例的情况时,用B 超进行子宫检查我们会发现这种如下图情况。这是产后7天以后, B超检测的子宫图片,从B超图片上可以看到,子宫内炎症并没有完全消除。

母猪哺乳期炎性因子大量蓄积引起母猪食欲下降,乳房炎的问题,母猪奶水不足,炎性因子易引起仔猪腹泻,间接危害仔猪健康。
母猪子宫复旧不完全会引起母猪断奶后不发情、屡配不孕、返情、配后流产等一系列繁殖问题,造成非生产天数的增加。可见,电子游艺网站
对于如何有效控制子宫内膜炎意义重大。
总的来讲,在养猪生产中母猪产科疾病的主要症状还有很多,例如:母猪表现为厌食,萎靡不振,体温正常或稍升高;乳房肿胀坚实,有热感,触诊时有痛感,母猪拒绝给仔猪哺乳;无乳或仅能挤出少量稀薄的乳汁,严重的病例乳房肿胀,皮肤光亮,乳汁呈清水样,容易发生乳房坏疽。
部分母猪在3天内不能排尽恶露,有子宫内膜炎的症状,阴道常流出黄白色的脓性分泌物,在尾巴和阴门周围形成污秽不洁的痂疽。仔猪表现为饥饿、消瘦,常常不停地拱母猪或追赶母猪。仔猪皮肤苍白、消瘦,死亡率增高,严重的的整窝仔猪死亡等等。所以对母猪的产后预防性保健很有必要!
【版权声明】电子游艺网站下载安装
旗下所有平台转载的文章均已注明来源、电子游艺网站下载安装
原创文章其他平台转载需注明来源且保持图文完整性、电子游艺网站下载安装
特别说明的文章未经允许不可转载,感谢您的支持与配合;我们所有刊登的文章仅供养猪人参考学习,不构成投资意见。若有不妥,请及时联系我们,可添加官方微信号“zgyangzhuwang”!