必修课||猪用B超在生产中的应用
    
       来源:养猪职业经理人2017-06-30 15:40:11 
      
      
     
    
    
    
    
    
      
                        - 
          
          
            
一、B超使用的原理及实体图      B超原理:      兽用怀孕探测仪是利用换能器(探头),经压电效应,发射出高频超声波透入机体组织产生回声,回声又能被换能器接收,变成高频电信号后传送给主机,经放大处理于荧光屏上显现出被探查部位的切面声像图的一种高科技影像诊断技术。      B超成像原理      1.黑色:主要是液体,包括:血液、羊水、组织间隙液体、炎症病灶等;      2.白色:主要指密度较高的物体,包括:骨胳、结石等;      3.灰色:主要指实质性组织,包括:肌肉、脏器等。      探头检测的位置:      由于猪是双孕角,所以左右均可以进行检测。具体位置在母猪腹部和后腿连接的三角区,最后两对乳头中间。      如果一侧检测到有胚胎的话,就不用再检测另一边了;如果没有检测到胚胎,需左右两边都得检测,避免单侧怀孕。(1/7)
          
         
                                - 
          
          
            
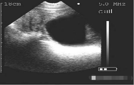
膀胱及卵巢检测图(1/7)
          
         
                                - 
          
          
            
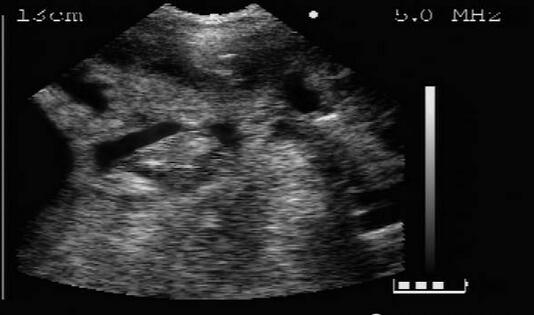
未怀孕检测图(1/7)
          
         
                                - 
          
          
            
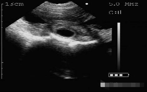
21天检测怀孕图(1/7)
          
         
                                - 
          
          
            
33天怀孕检测图(1/7)
          
         
                                - 
          
          
            
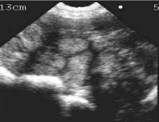
45天怀孕检测图(1/7)
          
         
                                - 
          
          
            
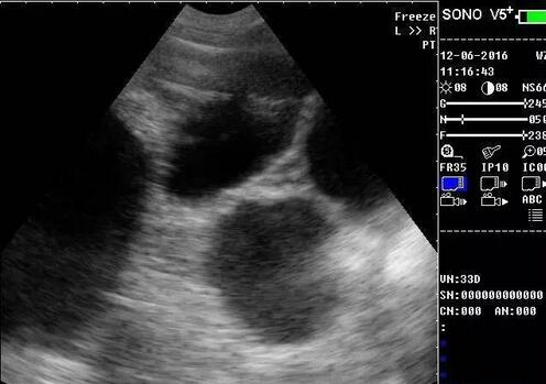
90天怀孕检测图(1/7)